Ambulance Services - 044 - 28193578, 755 000 2207

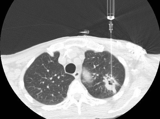
Expert CT-Guided Biopsies

Santosham Chest Hospital offers CT Guided biopsies. Dr. Roy Santosham our Interventional Radiologist is an expert in CT guided Biopsies, Radio Frequency Ablation for inoperable tumors, Vertebral Biopsy, Vertebroplasty, Nerve root and Facet injections and Coeliac plexus block for pain relief.

A CT Guided Biopsy is a way of obtaining a small piece of tissue from an area that looks potentially abnormal. We use the CT Scanner to guide us to the right area to obtain the tissue. The CT Scanner is a machine, which uses X-rays and a Computer to produce a series of cross sectional pictures through the patient. These scans show much more detail than can be appreciated on an ordinary X-ray picture. Most people having a biopsy will have had a CT Scan already but for those who have not, the CT Scanner is a large square box with a big round hole through it’s middle, rather like a huge square donut or polo mint. The patient being scanned lies on a table, which passes through the hole in the machine the table is then positioned so that the area being scanned is in the centre of the hole.

The scanner is open at both sides of the hole so that people do not usually feel shut in. If you are worried that you may feel claustrophobic please mention this when you come to the department and we will do our best to help. Although there will not normally be anyone in the room with you during the scanning although the Radiographer can see and hear you at all times to check that you are comfortable.

24/7AMUBULANCE SERVICE

emergency044 - 28193578, 755 000 2207

Copyrights © Santosham Chest Hospital. All Rights Reserved | Website designed by Glint Creatives.

QUICK ENQUIRY